sosmed sosmed sosmed sosmed
get app
Advertisement

Simak Kisaran Biaya Rontgen Thorax di Berbagai Tempat

Milenomic editor Iqbal Widiarko
24/01/2024 12:00 WIB
Biaya rontgen thorax di Indonesia penting diketahui. Rontgen thorax atau dada merupakan suatu pemeriksaan pencitraan struktur dengan mengambil gambar.
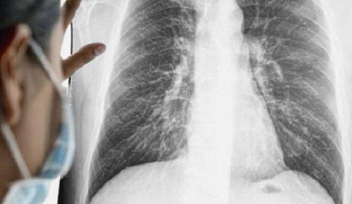
Simak Kisaran Biaya Rontgen Thorax di Berbagai Tempat. (Foto: MNC Media)
Simak Kisaran Biaya Rontgen Thorax di Berbagai Tempat. (Foto: MNC Media)

IDXChannel - Biaya rontgen thorax di Indonesia penting diketahui. Rontgen thorax atau dada merupakan suatu pemeriksaan pencitraan struktur dengan mengambil gambar dari jantung, paru, pembuluh darah, saluran pernafasan, dan kelenjar getah bening menggunakan X-ray.

Pemindaian X-ray dada digunakan untuk mendiagnosis masalah kesehatan yang menimbulkan gejala di daerah dada seperti masalah paru dan pernafasan serta gangguan jantung.

Dilansir dari berbagai sumber pada Rabu (24/1/2024), IDX Channel telah merangkum biaya rontgen thorax, sebagai berikut.

Biaya Rontgen Thorax

Rontgen thorax merupakan salah satu pemeriksaan radiologi pada dinding thorax, tulang dada, dan organ yang berada di dalam rongga dada. Biaya untuk rontgen thorax di rumah sakit berkisar antara Rp80 ribu hingga Rp300 ribu. Sedangkan, Biaya rontgen thorax di Prodia berkisar antara Rp278 ribu - Rp400 ribu untuk sekali foto.

Simak beberapa kisaran biaya rontgen di Indonesia yang bisa Anda simak;

  • Biaya Rontgen Dada di Laboratorium Klinik Prodia

Laboratorium Klinik Prodia mempunyai visi dan misi yang memprioritaskan pasien dan berkomitmen untuk memberikan layanan rontgen dengan kualitas tinggi. Biaya rontgen dada di Prodia sendiri berkisar antara Rp130.000 sampai Rp330.000 tergantung lokasi laboratorium.

Halaman : 1 2
Advertisement
Advertisement